Your browser does not fully support modern features. Please upgrade for a smoother experience.
意外检测到卵巢早期黏液性癌的巨型卵巢囊肿合并进行性延髓麻痹患者的围手术期管理:病例报告: History
View Latest Version
Please note this is an old version of this entry, which may differ significantly from the current revision.
Contributor: Jiexian Du

卵巢囊肿是一种常见的女性肿瘤,当直径大于 10 厘米时称为巨型卵巢囊肿 (GOC)。进行性延髓麻痹 (PBP) 是一种神经退行性疾病,表现为髓质癫痫发作伴构音障碍和/或吞咽困难。PBP对GOCs患者的围手术期管理提出了巨大挑战,目前尚无此类病例的报道。本文旨在讨论GOC合并PBP患者的围手术期管理。在本文中,我们报告了一名患有GOCs合并PBP的38岁女性患者。患者在2年前被诊断出患有PBP。妇科超声和 CT 显示骨盆中存在以液体为主的大囊性实性肿块,面积约为 28.6×14.2×8.0 cm,毗邻肠压迫。碳水化合物抗原19.9(CA19.9)29.20 IU/mL,未见其他明显异常。患者最终在局部麻醉、硬膜外阻滞下行经腹右附件切除术。术后病理显示右卵巢交界处黏液瘤,部分区域显示黏液癌。患者的手术病理学分为IA期,并选择监测。术后随访1个月时,CA19.9降至4.80 IU/ml。术前,评估患者的PBP进展,并根据患者的生育要求,卵巢囊肿的性质和一般状况选择麻醉和手术方法。围手术期密切监测患者吞咽困难和呼吸功能,及时给予适当治疗。

  • 巨型卵巢囊肿
  • 肌萎缩侧索硬化症
  • 进行性延髓麻痹
  • 围手术期管理
  • 病例报告

意外检测到卵巢早期黏液性癌的巨型卵巢囊肿合并进行性延髓麻痹患者的围手术期管理:病例报告

介绍

卵巢囊肿是最常见的女性盆腔肿块,当卵巢囊肿直径大于10厘米时,称为巨型卵巢囊肿(GOC)1, 2.GOC可引起腹胀、疼痛、恶心和呕吐,甚至肠梗阻和肾积水1-4.

肌萎缩侧索硬化症 (ALS) 是一种快速进展的人类运动系统神经退行性疾病,临床特征为上下运动神经元功能障碍,发病率为 1.7/100,000,诊断后中位生存期约为 5 年5-8.进行性延髓麻痹(PBP),或称为延髓表型ALS,主要特征为构音障碍和/或吞咽困难9, 10.PBP的中位生存时间短于其他亚组8, 10.本文旨在讨论GOC合并PBP患者的围手术期管理。

案例介绍

一名 38 岁女性出现盆腔大肿块。妇科超声显示大量液体占主导地位的肿块,测量值约为28.6×14.2×8.0厘米(图1A,B)。彩色多普勒超声显示没有明显的异常血流信号(图1C)。计算机断层扫描(CT)显示肾盂和右输尿管轻微扩张,邻近肠道受压。病变大小约为15.0×7.1×27.2厘米,囊性成分没有显着增强,固体成分更均匀地增强(图1D-F)。糖基化抗原19.9(CA19.9)29.20 IU/mL,其余检查无异常。

两年前,她出现了咽部不适,阅读和刷牙时恶心,逐渐恶化。一年半前,她发现舌头动作僵硬,言语不清,音调低沉,窒息和咳嗽。患者未服用利鲁唑或其他药物。本次住院神经学检查:构音障碍差,舌肌萎缩,眼反射未诱发,双上肢肌力5级,双下肢肌力5级。未进行肺功能检查,因为患者正在喘气和漏气。肌萎缩侧索硬化功能评定量表修订版(ALSFRS-R)评分为44分。SDS抑郁自我评估量表的结果显示粗略得分为32分,标准分为40分。其余的检查没有显示任何明显的异常。

最后,患者在开放性右附件切除术下接受硬膜外间隙阻滞的区域麻醉。术中用阿托品抑制腺分泌物,利多卡因和罗哌卡因缓解疼痛,阻滞平面达到T10,术中可耐受疼痛VAS评分为6分。术中探查显示盆腔腹部无腹水,右卵巢有不规则囊肿,直径约30cm,包膜完整,表面光滑。通过穿刺抽吸一些囊内液体后进行右附件切除术。标本壁光滑,囊内液粘稠,局部可见凝胶状组织,无花椰菜样肿块或状,右侧输卵管外观正常。

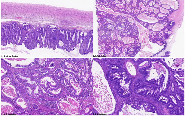
术后患者恢复良好,无恶心、呕吐、咳嗽、痰或呼吸困难,可耐受疼痛VAS评分为8分,伤口愈合良好。术后病理学提示(右卵巢)交界处黏液肿瘤,部分区域显示黏液癌,无明显的血管内栓塞癌:(右)输卵管未显示癌(图2)。在与患者和家属协商后,决定进行监测。手术一个月后,CA19.9降至14.50 IU/ml。

讨论:

术前分析

大多数GOC是良性的,但在手术前必须排除任何恶性肿瘤的可能性。碳水化合物抗原125(CA125)和人附睾分泌蛋白4(HE4)是应用于卵巢囊肿的最有价值的肿瘤标志物。CA19.9也用于评估肿瘤的性质11, 12.根据国际卵巢肿瘤分析小组(IOTA)的规则,该小组由五个特征表示恶性病变(M规则)和五个特征表示良性病变(B规则)组成12.患者囊肿为不规则多房囊性实性肿块,最大直径>10 cm,无血流信号,兼具M和B特征,暂时无法预测良恶性肿瘤。同时,CA19.9略有异常,但不能排除肿瘤的恶性转化。

神经科医生需要进行神经系统检查,包括肌肉体积、肌肉力量、吞咽功能、言语功能和呼吸功能6.ALSFRSr包括髓质功能、精细运动功能、粗大运动功能和呼吸功能四个领域,是ALS功能评估的重要工具13, 14.力肺活量测定法(FVC),最大吸气压(MIP)可以很好地衡量膈肌强度,对于晚期或髓质受累的患者,由于难以在口腔周围形成紧密密封,上气道塌陷以及气道和上气道肌肉的运动缺陷,嗅鼻吸气压(SNIP)是一个很好的测量工具15, 16.

麻醉管理必须考虑到对呼吸功能的影响。研究表明,全身麻醉在抑制呼吸系统的同时抑制脊髓运动神经元的兴奋性,这可能会加速手术后的运动神经元疾病17.过去曾报道过脊髓麻醉后神经系统后遗症相关的病例,而硬膜外麻醉时脑脊液中局部麻醉剂的浓度要小得多,使用硬膜外麻醉似乎很谨慎18, 19.

患者的卵巢肿瘤压迫了肾盂和输尿管,囊肿太大,无法排除恶性肿瘤。建议手术治疗1, 20.由于患者没有生育要求,也没有多次手术指征,因此计划进行右卵巢切除术。由于腹腔镜手术需要向腹腔注射二氧化碳 (CO2),导致腹内压 (IAP) 为 12-15 mm Hg、IAP 升高、膈肌头移位以及肺顺应性降低,这可能导致通气-灌注不匹配,导致低氧血症,在趋势仰卧位(双髻头仰卧位)时进一步加剧21.腹胀也可能导致肺部并发症,如高碳酸血症和皮下肺气肿21.这是进行性延髓麻痹的巨大挑战。对患者进行神经内和麻醉联合评估以发现可行手术的结果是选择开放性右附件切除术和硬膜外间隙阻滞。

操作过程中的注意事项

血流动力学不稳定是GOCs手术的一个令人担忧的并发症。大肿块压迫腔静脉,从而减少静脉回流,肿块切除后内脏血管扩张导致进一步不稳定。术中应缓慢清除肿块,并应密切监测和及时处理血容量变化21, 22.

硬膜外麻醉时,麻醉平面不宜选择过高(L12-S1~2平面),否则会影响患者的呼吸功能,当患者出现术中疼痛不耐受时,应及时给予镇痛药缓解疼痛18.关于流涎,抗胆碱能药物和肉毒杆菌毒素可用于减少腺体分泌23, 24.经皮血氧饱和度测定早期敏感性差,不能及时发现低氧血症,应以动脉血气分析结果判断15, 25.

术中冷冻病理应按指南进行,但该患者的手术时间不应较长,基于术中无腹水和卵巢囊肿内壁无状突起的诊断假阴性率,以及粘液性卵巢肿瘤和交界处肿瘤通常具有较高的假阴性冷冻切片诊断率26-28.在与患者家属沟通后,患者在手术过程中拒绝发送冷冻病理。

术后管理

构音障碍和吞咽困难见于近 80% 的髓质 ALS 患者25, 29.因此,应该通过提出更多可以用“是”或“否”回答的问题来进行沟通。吞咽困难可导致误吸和营养不良29.高热量高蛋白口服营养补充剂是不错的选择30.如果患者体重减轻超过病前体重的 10%,肠内营养是适当的干预措施29, 30.

PBP导致口腔,面部和舌头肌肉无力,导致分泌物清除受损和咳嗽受损,易发生呼吸道感染,并增加发病率和死亡率25, 31.当患者出现发热、持续咳嗽和呼吸困难等症状时,可进行胸部 CT 检查以检测肺部感染和肺不张15.抗胆碱能药物、肉毒杆菌毒素注射、改善整体水合状态、雾化器治疗和增加环境湿度都有助于分泌物清除24, 25.

由于术中麻醉药物的适度使用,患者术后未感到恶心等明显不适,术后腹压和腹胀症状明显减轻,PBP未因手术应激而加重。患者对这种治疗表示满意。同时,ALS是一种严重影响患者精神方面的疾病14, 32.护理人员和医疗保健专业人员应实时关注患者的心理状态,并提供积极的情感支持。而且术后早期活动对患者有益,因此鼓励患者在手术后适当移动是可以接受的33.

综上所述,术后吞咽困难、分泌物清除和呼吸功能管理至关重要,术后情绪管理不容忽视;应密切监测患者的所有术后状况,并及时进行相应处理。

术后病理结果及随访治疗

术后病理学报道卵巢交界处黏液瘤伴粘液癌,部分区域可见黏液癌。结合患者术前影像学检查、术中情况及术后病理发现,根据NCCN指南,患者为IA期卵巢黏液癌20.

根据NCCN指南:患者可以选择再次手术:手术是完全分阶段的,需要切除整个子宫,包括附件、大网膜和阑尾,盆腔淋巴结和主动脉旁淋巴结清扫术20.然而,麻醉师评估该手术的麻醉是困难的和极其危险的,因为硬膜外麻醉的水平太高并影响患者的呼吸功能,并且卵巢粘液癌的淋巴结转移非常罕见。结合患者的辅助检查结果,术后肿瘤分期可能保持不变34.ALS 的平均生存期为 3-5 年29.手术不是患者的最佳选择,监测由患者和家属在考虑后选择。

结论

GOC与PBP相结合是非常罕见的。GOC合并PBP患者的围手术期管理需要神经科医生、妇科医生和麻醉科医生的共同努力。术前,评估患者的PBP进展,并根据患者的生育要求,卵巢囊肿的性质和一般状况来感受麻醉和手术方法。由于PBP患者主要表现为构音障碍和吞咽困难,因此选择硬膜外麻醉作为麻醉方式。术后患者应密切注意ALS可能出现的并发症,特别是吞咽困难和呼吸功能活跃,并及时进行相应治疗。此外,积极的情感支持非常重要。由于卵巢囊肿有恶性肿瘤的可能性,单纯切除卵巢囊肿或单侧附件切除是可行的,因此建议对卵巢囊肿联合PBP的患者及时进行手术治疗,以预防恶性肿瘤。

利益冲突: 作者声明,这项研究是在没有任何商业或财务关系的情况下进行的,这些关系可以解释为潜在的利益冲突。

作者贡献声明:DZ:写作 - 原始草稿,写作编辑,可视化;RX:概念化,方法论,写作 - 原始草稿,写作编辑;TH:数据管理;YL:数据收集;ZH:数据收集;YS:数据管理;XX:数据管理;XD:数据收集;LW:项目管理;JD:写作 - 评论;监督;所有作者都为阅读做出了贡献,并批准了提交的版本。

缩略语和缩略语: ALS = 肌萎缩侧索硬化症;GOC = 巨型卵巢囊肿;PBP = 进行性延髓麻痹;

资金:没有

确认: 没有

引用

1. Jiang, L.; Zhao, X.; Han, Y.; Liu, K.; Meng, X., Giant Ovarian Cysts Treated by Single-Port Laparoscopic Surgery: A Case Series. Frontiers in oncology 2021, 11, 796330.

2. Corrias, F.; Pederiva, F.; Cozzi, G.; Ammar, L.; Cattaruzzi, E.; Lembo, M. A.; Barbi, E., A Giant Ovarian Cyst in an Adolescent. The Journal of pediatrics 2018, 199, 279.

3. Fu, L.; Ren, F.; Ma, X. et al, Postmenopausal giant ovarian tumor: a rare case report and literature review. Menopause (New York, N.Y.) 2022, 29 (8), 993-998.

4. Kiemtoré, S.; Zamané, H.; Sawadogo, Y. A. et al, Diagnosis and management of a giant ovarian cyst in the gravid-puerperium period: a case report. BMC pregnancy and childbirth 2019, 19 (1), 523.

5. van den Bos, M. A. J.; Geevasinga, N.; Higashihara, M.; Menon, P.; Vucic, S., Pathophysiology and Diagnosis of ALS: Insights from Advances in Neurophysiological Techniques. International journal of molecular sciences 2019, 20 (11).

6. Oskarsson, B.; Gendron, T. F.; Staff, N. P., Amyotrophic Lateral Sclerosis: An Update for 2018. Mayo Clinic proceedings 2018, 93 (11), 1617-1628.

7. Ustyantseva, E. I.; Medvedev, S. P.; Zakian, S. M., Studying ALS: Current Approaches, Effect on Potential Treatment Strategy. Advances in experimental medicine and biology 2020, 1241, 195-217.

8. 欣奇克利夫;Smith,A.,Riluzole:真实世界的证据支持肌萎缩侧索硬化症患者中位生存时间的显着延长。退行性神经神经肌肉Dis 20177, 61-70.

9. 墨菲;汤普森;Osman,K.L.等人,力量耐力运动范式减轻舌下 - 舌下运动神经元变性的啮齿动物模型中舌下舌轴功能,力量和结构的缺陷。前沿神经科学 202216, 869592.

10. 布布利茨;韦克;艾格-雷纳;莱克斯;包道格;Lorenzl,S.,进行性延髓麻痹患者的姑息治疗挑战:14名患者的回顾性病例系列。神经病学前沿 202112, 700103.

11. 赖瑟;皮尔斯;Grimm,C.等人,使用常规实验室参数定义良性和恶性附件肿块之间的分类模型。癌症 2022, 14 (13).

12. 蒂默曼;普朗尚;Bourne, T. et al, ESGO/ISUOG/IOTA/ESGE 关于卵巢肿瘤术前诊断的共识声明。2021, 31 (7), 961-982.

13. 李军;曾海;李敏;Wang, J., 剖宫产肌萎缩侧索硬化症产妇的麻醉管理.中华医学杂志 2020, 133 (11), 1371-1372.

14. 罗莎席尔瓦, JP;小圣地亚哥;多斯桑托斯;德卡瓦略;德弗兰卡·科斯塔,I.M.P.;Mendonca,D.M.F.,肌萎缩侧索硬化症的生活质量和功能独立性:系统评价。神经科学和生物行为评论 2020111, 1-11.

15. 德克鲁兹;墨菲;Kaltsakas,G.,运动神经元疾病中的睡眠呼吸障碍。J 胸部 Dis 2018, 10 (增刊 1), S86-S93.

16. 斯皮特尔;迈尔;Kettemann,D.等人,肌萎缩侧索硬化症中的无创和气管切开术有创通气:德国12年多的队列研究中的利用率和存活率。欧洲神经病学杂志 2021, 28 (4), 1160-1171.

17. 平托;斯沃什;de Carvalho,M.,手术会加速肌萎缩侧索硬化症的进展吗?神经外科精神病学杂志 201485 (6), 643-6.

18. 顾杰;Lin,X.,肌萎缩侧索硬化症患者的麻醉和术后镇痛。密涅瓦阿涅斯特西奥尔 2017, 83 (11), 1216-1217.

19. 科克-科代罗;布鲁斯;范登比格拉尔,R. J. M.;埃金克;van der Marel,C.D.,在剖宫产期间联合脊髓-硬膜外麻醉与无创通气,最近诊断为肌萎缩侧索硬化症。国际产科麻醉杂志 201836, 108-110.

20. 阿姆斯特朗;阿尔瓦雷斯;Bakkum-Gamez,J. N. 等人,卵巢癌,版本 2.2020,NCCN 肿瘤学临床实践指南。国家企业网杂志 2021, 19 (2), 191-226.

21. 阿特金森;吉罗;托吉冈,B.M.;琼斯;Cigarroa,J.E.,腹腔镜手术的心血管和通气后果。流通 2017, 135 (7), 700-710.

22. 范达姆;De Waele,J.J.,减压剖腹术对腹腔间室综合征患者器官功能的影响:系统评价和荟萃分析。重症监护(英国伦敦)2018,22 (1),179。

23. 詹姆斯;埃利斯;布拉辛顿;萨塔西瓦姆;Young,C.A.,运动神经元疾病/肌萎缩侧索硬化症患者流涎(唾液过多)的治疗。Cochrane系统综述数据库20225,CD006981。

24. 摩根特;巴维卡特;安瓦尔;Mohamed,B.,慢性神经系统疾病中流涎的负担:目前的治疗方案和肉毒杆菌毒素A(Xeomin(R))的作用。神经系统疾病的治疗进展 201912, 1756286419888601.

25. 布伦特;弗朗茨;科尔曼,J.M.,第 3 名;Ajroud-Driss,S.,ALS:管理问题。神经外科 2020, 38 (3), 565-575.

26. Buza,N.,卵巢上皮肿瘤的冷冻切片诊断:诊断珍珠和陷阱。病理学与检验医学档案 2019, 143 (1), 47-64.

27. 莱克;克里斯蒂安斯多蒂尔;Sundfeldt,K.,一项多中心临床试验,验证了HE4,CA125的性能,卵巢恶性肿瘤算法的风险和恶性肿瘤指数的风险。妇科肿瘤 2018, 151 (1), 159-165.

28. 赖瑟;皮尔斯;Grimm,C.等人,使用常规实验室参数定义良性和恶性附件肿块之间的分类模型。癌症(巴塞尔) 2022, 14 (13).

29. 布尔戈斯;布列塔尼,I.;Cereda,E.等人,ESPEN指南神经病学临床营养。临床营养学(苏格兰爱丁堡)2018,37(1),354-396。

30. 多巴克;凯利,D.,吞咽难药丸:拔管后吞咽困难和重症监护室的营养影响。临床实践中的营养:美国肠外和肠内营养学会官方出版物 2021, 36 (1), 80-87.

31. 塔博尔-格雷;瓦西洛普洛斯;Plowman,E.K.,肌萎缩侧索硬化症患者和健康成年人的自愿和反射性咳嗽强度的差异。肌肉与神经 2020, 62 (5), 597-600.

32. 格拉布勒;美国韦恩;贾克尔;特根索夫;Mavrogiorgou-Juckel,P.,肌萎缩侧索硬化症患者及其主要照顾者的死亡焦虑和抑郁。神经病学前沿 20189, 1035.

33. 奎斯特;索默,理学硕士;Vibe-Petersen,J.等人,早期开始的术后康复减轻可手术肺癌患者的疲劳:一项随机试验。肺癌(荷兰阿姆斯特丹)2018126,125-132

34. 海沃德;纳修迪斯;科里;哈格蒂;高,E.M.;Latif,N.,早期粘液性卵巢癌的淋巴结切除术。国际妇科癌症杂志:国际妇科癌症学会官方杂志2021,31 (1),104-109。

This entry is offline, you can click here to edit this entry!
Academic Video Service

Quick Survey

Encyclopedia MDPI is conducting a targeted survey to identify the specific barriers hindering efficient research. We invite you to spend 3 minutes defining the priorities for our next generation of structured knowledge tools.
Take Survey